
Vídeo de Clínica Hepler Bone
La ortodoncia invisible se emplea a través de unas férulas que se crean con un molde de la propia boca del paciente. Las diferentes férulas se irán cambiando cada dos semanas aproximadamente. Su finalidad es ir recolocando los dientes poco a poco. Este tratamiento tiene una duración aproximada de dos años, aunque dependerá de cada caso.
Esta férula es de plástico y, por tanto, al adherirse a los dientes queda prácticamente invisibilizada, ya que se trata de unos alineadores transparentes, como nos explican los profesionales de Clínica Dental Lorenzo.

Candidatos a ortodoncia invisible para mejorar la posición de los dientes
Como indica Mayo Clinic, este tratamiento corrige la posición de los dientes en los siguientes casos:
Este tipo de ortodoncias están indicadas tanto para adultos, como para adolescentes, como para niños. En el caso de los niños, este tipo de tratamiento también funciona ya que puede ayudar a dirigir su mandíbula para su buen desarrollo.
Esta ortodoncia se puede combinar con otros sistemas.
No podrán someterse a este tratamiento, pacientes con gingivitis, infecciones o afecciones bucales de otro tipo.

Ortodoncista en la Clínica Dental Lorenzo
En este caso, al tratarse de un odontólogo, es importante contrastar sus conocimientos y experiencia. Para ello, se puede pedir una muestra de experiencias previas en tratamientos de ortodoncia invisible.
Se debe realizar una búsqueda de las clínicas dentales que ofrezcan este servicio y ver cuáles conocen en qué consiste el tratamiento. Es importante que el odontólogo esté especializado en ortodoncia, y en el caso de querer utilizar el un sistema de ortodoncia invisible, que tenga un certificado en este sistema, nos cuentan desde Clínica Dental Lorenzo.
Un buen odontólogo será la clave para hacer una ortodoncia invisible con confianza, seguridad y los mejores resultados.
Se recomienda no confiar en ofertas demasiado llamativas ya que pueden poner en peligro tu salud bucodental.

Primera visita en Araújo Centro Dental
En la primera cita con el ortodoncista, se realiza un primer diagnóstico sobre el estado de los dientes. Para ello, como nos cuentan los especialistas de la Clínica Dental Lorenzo:
El ortodoncista explica en qué consiste el tratamiento, cuánto cuesta y se realiza un estudio de la boca. Una vez se tiene toda la documentación, se pueden realizar los moldes de la boca y se puede enseñar al paciente el proceso que van a sufrir sus dientes hasta estar en la posición correcta con ejemplos o simulaciones para que pueda imaginar su evolución y cambio.

La cavidad bucal y los dientes deben estar en buenas condiciones
Para poder realizar el tratamiento será necesario que la cavidad bucal y los dientes tengan las siguientes características:

Una vez se ha realizado el diagnóstico, se puede empezar con el tratamiento. El ortodoncista cambia los alineadores invisibles cada dos semanas, y hace una revisión de los avances y movimientos de los dientes.
Los alineadores son removibles, por tanto el paciente podrá quitárselos y ponérselos. Aunque se recomienda llevarlos puestos todo el día. Solo sacarlos en las comidas.
Durante el tratamiento, es posible que se peguen pequeños yesos a los dientes para mejorar su movilidad. Se sacaran sin dejar rastro al finalizar el tratamiento.
Es necesario que el paciente tenga una buena higiene bucal. Deberá limpiar los dientes después de las comidas con hilo dental.
Puede ser que los primeros días de utilizar los alineadores transparentes tenga pequeñas molestias en las encías por la fuerza que hacen estos para mover los dientes.

Ventajas de los alineadores invisibles
Los beneficios de la ortodoncia invisible son muchos. Los especialistas de Clínica Dental Lorenzo, nos explican cuáles son:
Como nos explican los expertos de Clínica Dental Lorenzo, al finalizar el tratamiento es posible que se coloquen en la parte trasera de los dientes unos retenedores pasivos para que los resultados obtenidos se mantengan en el tiempo.
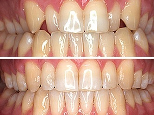
Los resultados son inmediatos y permanentes. El tratamiento no afecta de forma negativa a los dientes ni a las encías.
En la ortodoncia invisible existen algún efectos secundarios o complicaciones que pueden aparecer a medida que se realice el tratamiento:
La ortodoncia invisible es un tratamiento que no suele tener efectos secundarios pero como en todo procedimiento, puede haber alguna complicación, las más comunes son:
MedlinePlus. (2019). Ortodoncia. [online] Available at: https://vsearch.nlm.nih.gov/vi... [Accessed 13 Mar. 2019].
Tratamientos más populares
Abdominoplastia
Ácido hialurónico
Aumento de pecho
Blefaroplastia
Aumento labios
Síguenos e inspírate cada día