
Foto de la Clínica Deltadent.
Los implantes dentales son una especie de raíces de dientes artificiales, de forma similar a los tornillos, los cuales se ubican en el hueso de la mandíbula y se unen con el hueso natural. De esta manera se convierten en una base sólida para sostener uno o más dientes artificiales, llamados coronas.
Los implantes son la forma más fiable de reponer dientes, estos funcionan como una nueva raíz en la que se coloca una corona dentaria. Al finalizar el tratamiento, el paciente podrá masticar alimentos al igual que si fueran dientes normales sin tocar los dientes adyacentes, como en un puente. Además, son prácticamente iguales que los naturales y estéticamente no existen diferencias.
La AAID comenta que la tasa de éxito de los implantes dentales ha sido reportada en la literatura científica en un 98%, esto se puede deber a que son los dispositivos más fuertes disponibles para apoyar los dientes de reemplazo y permiten que estos nuevos dientes se sientan, se vean y funcionen naturalmente. A eso también se añade que la mayoría de pacientes que recurren a un implante dental son aptos y tienen una buena aceptación en el tiempo del injerto dental.
La colocación de implantes dentales es una práctica quirúrgica útil para mejorar la funcionalidad y estética dental. En España, de media, un tratamiento de este tipo cuesta alrededor de 1.500 euros. Para conocer el desglose por ciudades, visita nuestra página de precios de implantes dentales.

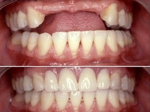
Antes y después implantes dentales - Dr. Carlos Miera
Gracias a la facilidad y tecnología del tratamiento, para la Academia Americana de implantes (AAID) es un procedimiento apto para la mayoría de las personas, ya sea para alguien que le falta un diente en su totalidad como para alguien que tenga una parte en un estado inadecuado. Las personas jóvenes también pueden optar a la inserción de un implante dental, siempre y cuando ya hayan cumplido la etapa de crecimiento y desarrollo facial, lo cual suele suceder a la edad de 16 años en las mujeres, y a los 18 años en los hombres.
Aunque los implantes dentales son aptos para casi todos los pacientes, es necesario mencionar que ningún implante va a ser tan perfecto como los dientes naturales; es por esto que los profesionales dentales insisten tanto en la salud e higiene del paciente, la cual debe iniciarse en acompañamiento de un odontólogo cuando el infante cumpla el primer año de edad.
En todo caso, lo mejor para decidir si es necesario un implante dental es acudir a un profesional dental de confianza y plantearle la pregunta de si en su caso, se puede hacer un implante dental ya que cada paciente es diferente y requiere atención personalizada.

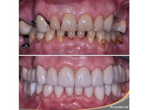
Antes y después. Foto de la Clínica Dental Propdental
Quien decide en definitiva si el paciente necesita un implante dental o no es el profesional dental, pero a continuación mostramos algunas de las razones generales por las que el paciente puede plantearse por primera vez someterse a un tratamiento de implantología dental:

Implantes dentales
Para encontrar el mejor profesional dental que realice este procedimiento se debe asistir en primera instancia a su odontólogo de cabecera, comentar la situación y preguntarle qué tan apropiado puede ser el implante dental. Se recomienda visitar primero al odontólogo de confianza ya que es este quien suele tener todo el historial médico dental del paciente, pero hay que aclarar que no todos los odontólogos realizan implantes dentales.
En este último caso es bueno informarse en diferentes clínicas sobre el procedimiento, pero se sugiere tener en cuenta los siguientes elementos:

Paciente en consulta odontológica.
Durante la primera cita el doctor evaluará diferentes aspectos, desde los amplios y más generales como tu higiene oral hasta los más particulares como la calidad de tu mordida y el aspecto de tu hueso maxilar.
Para el correcto plan de tratamiento con implantes es necesario realizar una completa historia clínica del paciente, un diagnóstico radiológico (radiografías) y una adecuada valoración del caso teniendo en cuenta distintos factores como enfermedades sistémicas, aspecto psicológico, edad y realizar un exhaustivo examen de la cavidad oral valorando cambios morfológicos, los rebordes alveolares, las crestas óseas y tejidos duros y blandos de la boca del paciente.
Todos estos exámenes y procedimientos previos deben realizarse para asegurar la adaptación y el resultado positivo del implante, ya que se ha demostrado que en casos donde el paciente cuenta con poco hueso en su parte maxilar es más difícil realizar el procedimiento de implante dental y en este caso se deben utilizar diferentes técnicas como la regeneración de tejido que permite recuperar el hueso perdido, el PRGF, injertos, regeneración ósea guiada y elevación de seno maxilar.

Video de Clínica Implanteoral Milladoiro.
En España se manejan diferentes tipos de implantes dentales, los cuales se eligen teniendo en cuenta las necesidades del paciente y su estado dental. Generalmente, suelen ser de titanio. Para la AAID, los implantes se dividen en tres grandes grupos:

Video de la Clínica Pardiñas.
Los implantes dentales generalmente se realizan con anestesia local, pero para pacientes con fobia a los sonidos de cirugía o a los odontólogos se puede brindar la opción de sedación consciente o anestesia general.
Debido a que la cirugía de implante dental es una cirugía por etapas es necesario que el paciente haya cumplido con todos los requerimientos de su profesional dental. A continuación, detallaremos el procedimiento a grandes rasgos (desde el inicio hasta su colocación), aunque puede variar de paciente a paciente, ya que en algunos casos se puede necesitar de un injerto óseo lo cual alargará el proceso y las partes del implante.

Foto de la Clínica Dental Propdental
El paciente debe seguir al pie de la letra el consejo de su dentista, en este caso no debería haber ningún tipo de complicación durante su rehabilitación, aún así el Consejo de dentistas de España recomienda los siguientes cuidados después de la operación:

Video de testimonios de implantes de la Clínica Dental Corbella.
Los resultados en los implantes dentales reportan casos de éxito en su mayoría si el paciente ha tenido los cuidados adecuados y representan varias ventajas en comparación de otros tratamientos dentales:

Foto del Dr. Jose Miguel Ojeda Molina
Como toda intervención quirúrgica, los implantes dentales pueden tener riesgos en el paciente; sin embargo, estos problemas son menores y se resuelven con facilidad en compañía del profesional dental:
Con el fin de aumentar la probabilidad de éxito de un implante dental, la boca, las encías y las mandíbulas deben estar en una condición saludable. Hay algunos casos en que un implante dental está contraindicado porque el riesgo de fracaso es significativamente mayor, es por esto que el paciente debe asegurarse de que el tratamiento de implante dental va a ser realizado por un profesional altamente cualificado.
Consejo Dentistas. 2024. Información sobre Implantes Dentales. [online] Available at: https://consejodentistas.es/informacion-publica/informacion-clinica/tratamientos/ [Accessed 30 January 2024].
Tratamientos más populares
Abdominoplastia
Ácido hialurónico
Aumento de pecho
Blefaroplastia
Aumento labios
Síguenos e inspírate cada día