
Hay varios factores que oscurecen los dientes
Una bonita sonrisa es importante. De hecho, los dientes manchados o dañados pueden ser un complejo real y tener repercusiones significativas en la vida social, tanto profesional como familiar. Para encontrar una sonrisa brillante, cada vez más personas utilizan el blanqueamiento dental, aunque otra muy buena opción es el uso de carillas dentales, muy utilizadas por personajes famosos.
¿Por qué los dientes se oscurecen o manchan?
Los dientes se oscurecen por factores intrínsecos (del propio diente) y también por factores extrínsecos (externos). Según los especialistas de Centro De Implantología Estética, el color o tono de los dientes depende de la dentina, es decir, hay personas que tendrán los dientes más blancos que otras. Además hay otros factores que pueden oscurecer los dientes o macharlos como por ejemplo:
Hay que tener en cuenta que con la edad los dientes también se van volviendo más amarillos. Generalmente, a partir de los 40 años el envejecimiento natural del diente se hace más notorio, aseguran los especialistas de la Clinica Odontologica Dr. Conde.
Con el blanqueamiento dental los dientes recuperarán su blanco de forma natural, inmediata y sencilla siempre que se realice por un dentista cualificado y con experiencia.
El precio medio de un blanqueamiento dental varía según la clínica dental y el tipo de tratamiento requerido para aclarar la tonalidad de los dientes de cada paciente. En España el precio medio de un blanqueamiento dental suele estar alrededor de los 250 euros. Para ver el desglose por ciudades, visita nuestra página de precios de blanqueamiento dental.

Lo ideal para realizar el tratamiento es tener unos dientos sanos
Existen pocas contraindicaciones para el este tratamiento pero hay que tener en cuenta que no se recomienda en los siguientes casos:
Lo ideal es realizar un blanqueamiento dental en una persona con dientes sanos (sin caries), con una buena higiene dental y que no sea fumadora para asegurar que los resultados serán más duraderos.

El blanqueamiento dental debe ser realizado por un dentista colegiado
Según el Ilustre Colegio Oficial de Odontólogos y Estomatólogos de Valencia (ICOEV), hay que tener en cuenta que el blanqueamiento dental además de realizarse con fines estéticos, es un tratamiento odontológico. Por lo tanto, hay que asegurarse que la clínica y sus profesionales sean adecuados. Deberá ser un dentista colegiado quién haga un diagnóstico detallado del paciente y sus antecedentes.
Además, el ICOEV, recuerda que en España la ley prohíbe vender en internet productos blanqueadores. Además, todo blanqueamiento realizado en un lugar que no sea una clínica odontológica puede causar graves consecuencias en los dientes y en la salud bucal en general.

La OMS recomienda cepillarse dos veces al día los dientes
Para obtener un resultado óptimo del tratamiento, te recomendamos que tengas una muy buena higiene bucal. Por ejemplo, la OMS recomienda cepillarse dos veces al día (por la mañana y por la noche) durante dos minutos y usar hilo dental todas las noches.
Además, es aconsejable llevar una dieta variada y equilibrada y visitar, al menos, dos veces al año a un dentista. También se recomienda no fumar en los días o semanas anteriores al tratamiento de blanqueamiento.
Antes del blanqueamiento dental el profesional utilizará una carta de colores para ver el más adecuado para ti y que el resultado sea natural. Esta carta de colores se divide en cuatro categorías: marrón-rojo, rojo rojizo, gris y gris-rojo. También, realizará un diagnóstico previo para asegurar que las encías, los dientes u otros tejidos no corren peligro.

Férulas para realizar el tratamiento en casa
Según las necesidades de cada paciente el dentista realizará un tipo de blanqueamiento u otro. Los especialistas de la Clinica Hepler Bone comentan que existen tres tipos:
Normalmente, no es un tratamiento doloroso aunque en algunos pacientes con sensibilidad dental sí puede resultar molesto.
Dependiendo de las necesidades de cada paciente, el dentista elegirá el tipo de blanqueamiento que se realizará. En primer lugar, es necesario someterse a una limpieza a fondo de la cavidad bucal. En esta etapa, el dentista procederá con la técnica de pulido con aire, se pasará un chorro de agua y bicarbonato sobre la dentición para eliminar las manchas.
La siguiente fase se llama blanqueamiento y consiste en la decoloración química de la dentina, el pigmento que causa el color de los dientes. Los productos utilizados para este fin son geles a base de peróxido de hidrógeno y peróxido de carbamida, que son los únicos dos componentes certificados por la FDA, la agencia estadounidense para el control de drogas. El dentista aplica el gel a los dientes, utilizando una plantilla modelada con los dientes del paciente.
Esta técnica se conoce como blanqueo fotodinámico, porque para aprovechar al máximo las propiedades de blanqueamiento de los peróxidos es necesario utilizar fuentes de luz fría, como LED, láser o plasma. En general, la sesión tiene una duración máxima de 45 minutos y no es dolorosa, el paciente puede experimentar una hipersensibilidad en los días posteriores al tratamiento.
Como hemos comentado, en algunos casos el tratamiento se puede realizar en casa. El médico sugerirá el kit de blanqueamiento que se debe utilizar, que puede ser de varias marcas. Se debe tener en cuenta que los productos para uso caseros siempre tendrán una capacidad de blanqueamiento inferior a la de los profesionales que solo puede usar el médico.

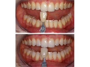
Imagen de Clínica Dental Propdental
Según los dentistas de la Clinica Hepler Bone, para asegurar un buen resultado es imprescindible seguir las siguientes indicaciones tras el blanqueamiento dental:
Tras el blanqueamiento, es posible sentir un hormigueo débil. Si has elegido un tratamiento a domicilio y experimentas dolor o hipersensibilidad, el tratamiento debe interrumpirse de inmediato.

Imagen de Clínica Rosales De Estética Dental
Los resultados del blanqueamiento dental son visibles inmediatamente después de la sesión. En cuanto a su duración puede ir desde los 6 meses hasta los 3 años ya que varía dependiendo del tipo de tratamiento elegido (en consulta o en casa), tus hábitos alimenticios y tu higiene dental. Por lo tanto, es importante seguir las recomendaciones de la OMS incluso después del tratamiento.
Si es necesario, se puede repetir el tratamiento de blanqueamiento dental pasados unos años, si el dentista y el paciente lo ven conveniente, no tiene ninguna contraindicación.
Tratamientos más populares
Abdominoplastia
Ácido hialurónico
Aumento de pecho
Blefaroplastia
Aumento labios
Síguenos e inspírate cada día